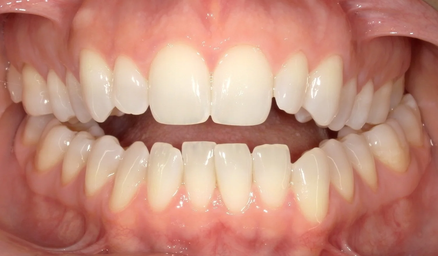
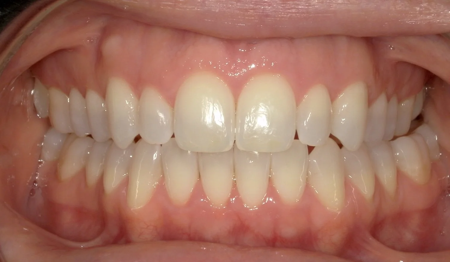
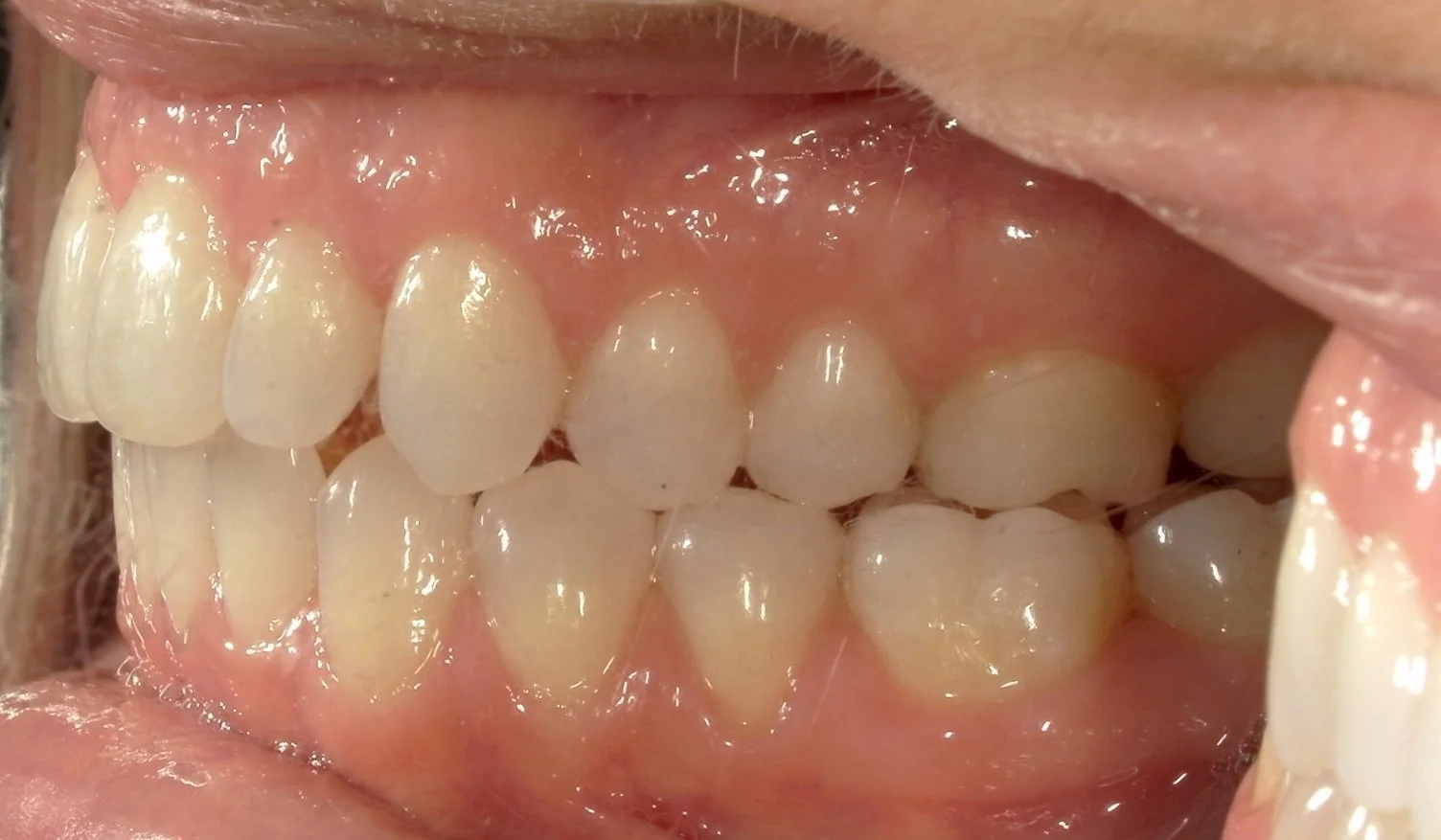
Missing lateral incisor replaced by Maryland bridge

1-1
Before
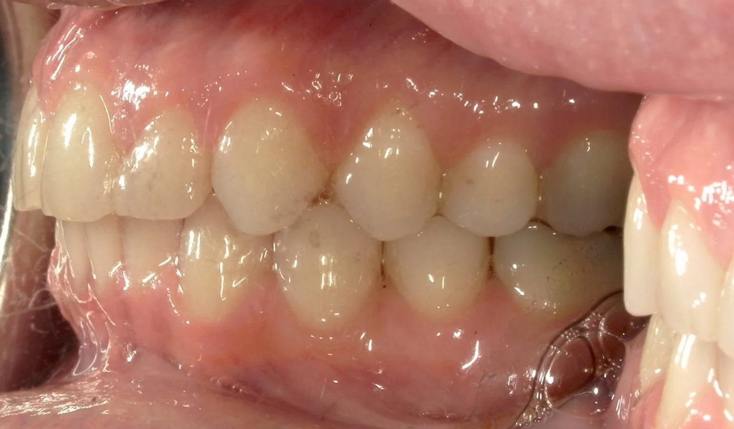
1-2
After

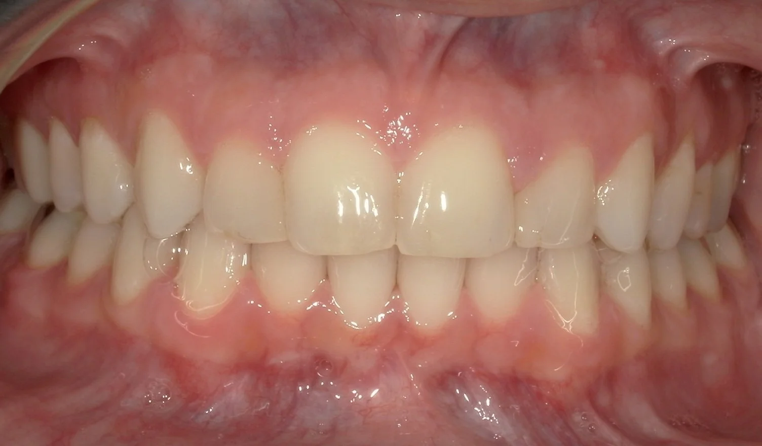
Invisalign with Elastics (17 months)

1-1
Before
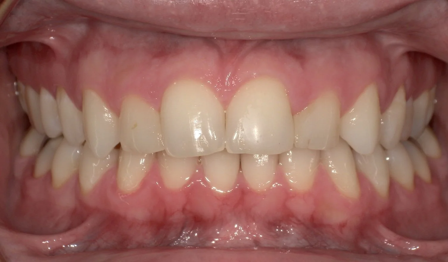
1-2
After
1-3
Before
1-4
After

Braces with elastics (16 months)

2-1
Before
2-2
After
2-3
Before
2-4
After

Phase one with Invisalign (12 months)

3-1
Before
3-2
After
3-3
Before
3-4
After

Braces with canine substitution (26 months)

4-1
Before
4-2
After
4-3
Before
4-4
After

Invisalign with canine substitution and extractions of lower first premolars (24 months)

7-1
Before
7-2
After
7-3
Before
7-4
After

Clear Aligners with jaw surgery (17 months)

7-1
Before
7-2
After
7-3
Before
7-4
After

Crossbite correction with a palate expander (10 months)

5-1
Before
5-2
After
5-3
Before
5-4
After

Severe crowding correction with Invisalign (24 months)

6-1
Before
6-2
After
6-3
Before
6-4
After

20 Months of Invisalign Treatment in an Adult to Correct Crowding and Transposed Teeth

8-1
Before
8-2
After
8-3
Before
8-4
After

Severe Crowding Treated with Extractions & 24 Months of Braces.

9-1
Before
9-2
After
9-3
Before
9-4
After

Phase One crossbite correction with an expander and partial braces.

10-1
Before
10-2
After
10-3
Before
10-4
After

Extraction of a lower incisor with Invisalign (14 months of treatment)

11-1
Before
11-2
After
11-3
Before
11-4
After

Open bite correction with clear aligners and elastics

11-1
Before
11-2
After
11-3
Before
11-4
After